New Patients
(641) 219-8711
Existing Patients
(641) 939-3214

For many teenagers, the idea of getting braces or orthodontic treatment can feel both exciting and intimidating. At Eldora Family Dentistry & Orthodontics, we understand that this stage of life is filled with change, growth, and self-expression and your smile plays a major role in all of it. Our orthodontic team provides specialized care focused on the needs, comfort, and lifestyle of teens. Orthodontics for teens in Eldora offers the perfect opportunity to create a healthy, confident smile that will last a lifetime.
Our approach to teen orthodontics combines modern techniques, advanced materials, and a supportive environment designed to make treatment a positive experience from start to finish. Whether your teen needs braces or clear aligners, every plan is personalized to ensure effective results and lasting confidence.
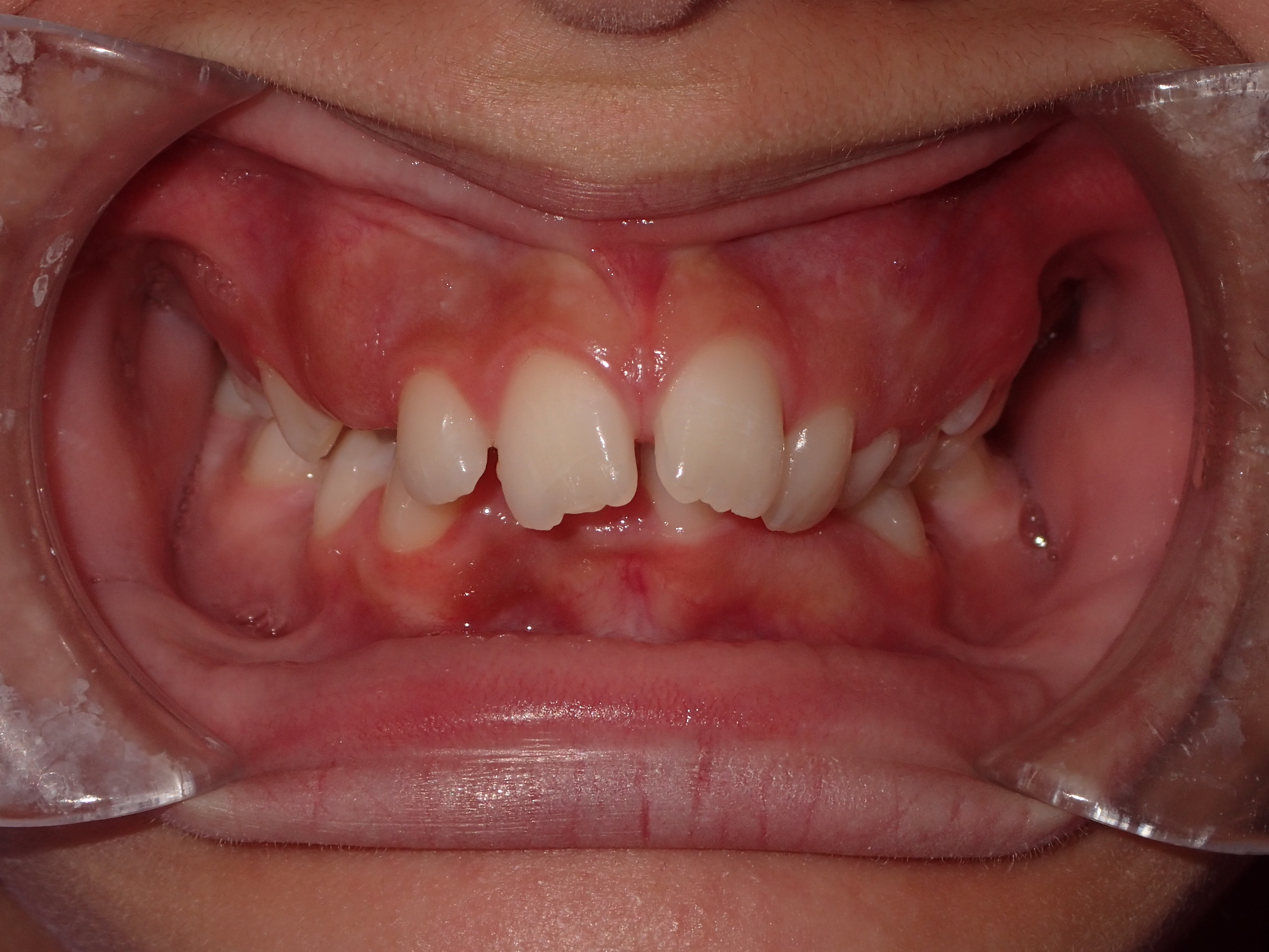
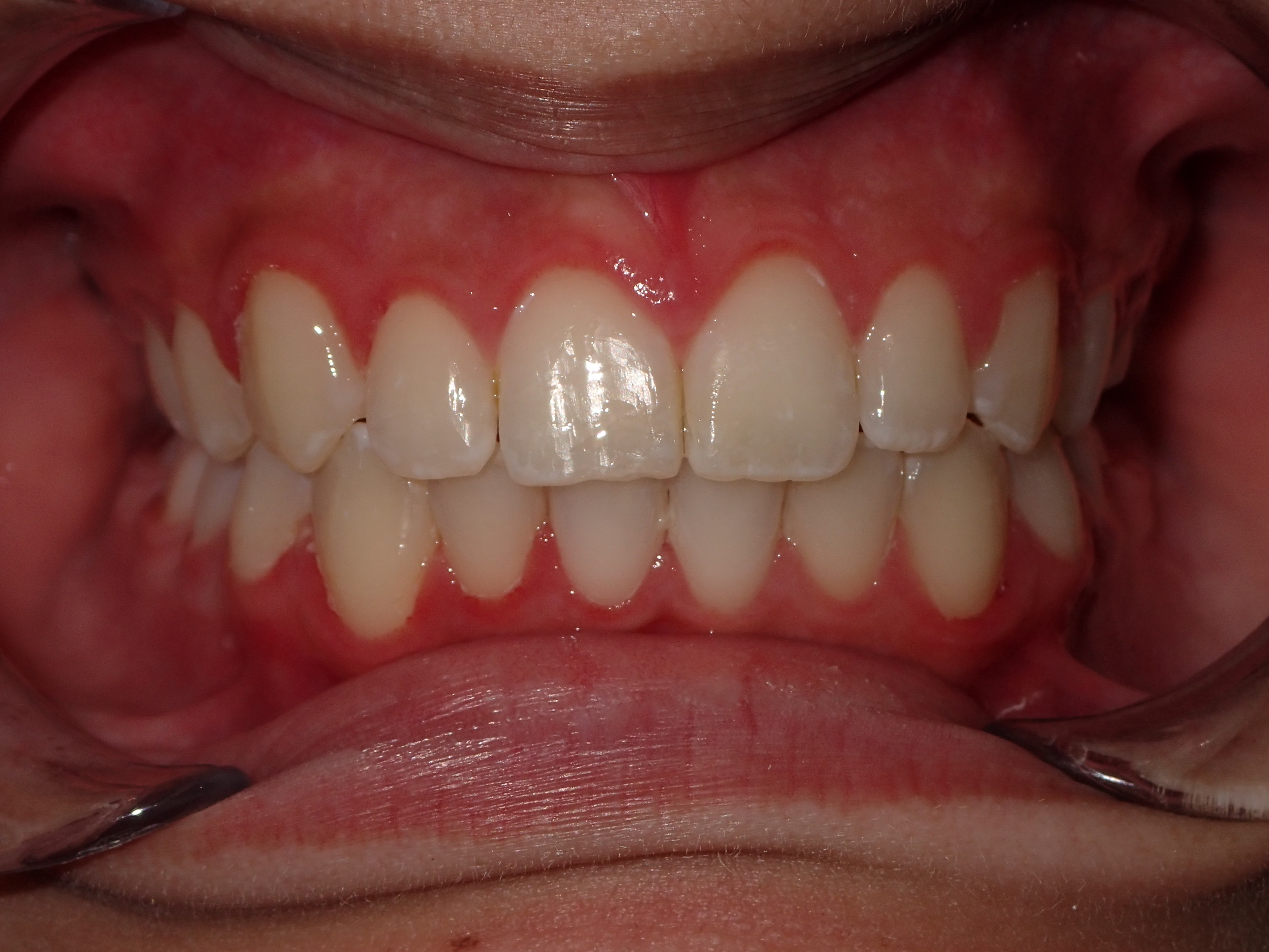
Teenage years are an ideal time for orthodontic treatment because the mouth and jaw are still developing. This makes it easier to guide teeth into proper alignment and achieve long-term stability. Orthodontics for Eldora teens helps correct common dental issues such as crowding, spacing, overbites, underbites, and crossbites before they lead to complications later in life.
Straight teeth do more than enhance appearance. Proper alignment allows for easier brushing and flossing, reducing the risk of decay, gum disease, and uneven wear. Teen orthodontics also supports proper speech, chewing, and digestion by ensuring the teeth and jaw function harmoniously.
Our team takes a proactive, educational approach, helping teens understand how their orthodontic treatment contributes to lifelong dental wellness. By building these healthy habits early, we are setting the stage for confident smiles and strong oral health well into adulthood.
Every teen is unique, which means their orthodontic treatment should be too. At Eldora Family Dentistry & Orthodontics, we offer a variety of solutions designed to suit different needs, preferences, and lifestyles. Whether your teen prefers traditional braces or the flexibility of clear aligners, our goal is to create a plan that fits comfortably into their routine.
Braces remain one of the most reliable and effective options for comprehensive orthodontic care. Today’s braces are smaller, lighter, and more comfortable than ever before. They use gentle, consistent pressure to gradually guide teeth into alignment, allowing for precise control of even complex cases.
Teens can choose from traditional metal braces or more discreet ceramic options that blend with the natural color of the teeth. With regular adjustments and ongoing support, our team ensures that the process is smooth, predictable, and tailored to your teen’s needs. Braces in Eldora are designed not just for correction, but for confidence, helping teens feel proud of their progress every step of the way.
For teens who want a more discreet and flexible solution, clear aligners for teens in Eldora offer a nearly invisible alternative to braces. These custom-made, removable trays are designed to move teeth gradually while fitting comfortably and seamlessly into everyday life.
Clear aligners are especially popular among students involved in activities like music, sports, or public speaking where comfort and appearance matter. They can be removed for eating, brushing, and flossing, allowing for greater convenience and oral hygiene. Each set of aligners is worn for about one to two weeks before switching to the next, slowly guiding the teeth into their ideal positions.
This modern approach to teen orthodontics delivers impressive results without the need for metal brackets or wires. It is an excellent choice for mild to moderate alignment issues, offering both comfort and confidence throughout treatment.
Beginning orthodontic treatment is a significant milestone for any teen. At Eldora Family Dentistry & Orthodontics, we make sure the process feels encouraging and empowering from day one. The journey starts with a detailed consultation where we evaluate the alignment of your teen’s teeth, bite, and jaw using advanced imaging technology.
From there, our orthodontic team creates a personalized plan that considers both the clinical needs and lifestyle of the patient. We explain each step clearly, helping teens and parents understand what to expect, how to care for appliances, and how progress will be monitored.
Throughout treatment, regular visits allow us to make precise adjustments and track improvements. Our friendly, supportive team ensures every appointment is efficient and stress-free. Once treatment is complete, custom retainers are provided to maintain the new alignment and protect the investment in their smile.
The benefits of orthodontics for teens go far beyond aesthetics. Straight teeth and balanced bites enhance daily comfort, improve speech, and prevent unnecessary wear on enamel. Properly aligned teeth make it easier to maintain oral hygiene, which helps prevent cavities and gum disease.
From a psychological perspective, orthodontic treatment can be a major confidence booster. Teens who feel proud of their smiles often carry that self-assurance into social settings, academic environments, and extracurricular activities. This sense of pride can have a lasting effect, reinforcing healthy habits and positive self-esteem.
Parents also appreciate that orthodontics is an investment in their child’s long-term health. Addressing misalignment early prevents future complications that might require more extensive dental work in adulthood. In many cases, early orthodontic care also supports facial balance and jaw development, contributing to better oral function and symmetry.
When it comes to orthodontics for teens in Eldora, there is no one-size-fits-all approach. Both clear aligners and traditional braces offer excellent results, but the right choice depends on the complexity of the case, the teen’s lifestyle, and their preferences.
Braces are ideal for comprehensive corrections and provide consistent, hands-off treatment that does not rely on daily compliance. Teens who prefer not to worry about removing aligners may find braces a more convenient choice.
Clear aligners, on the other hand, offer flexibility and discretion. Teens who are responsible about wearing their aligners as directed often find this method highly rewarding. It is especially appealing for those concerned about aesthetics or wanting a more subtle treatment experience.
During the consultation, our team helps guide the decision-making process, discussing the pros and cons of each option and recommending the best fit for your teen’s specific goals.
Orthodontic treatment is a journey but one that fits easily into most teens’ lives. For those with braces, our team provides detailed instructions on brushing, flossing, and avoiding foods that could damage brackets or wires. For teens using clear aligners, maintaining oral hygiene is even simpler, as the trays can be removed during meals and cleaning.
We encourage teens to take ownership of their orthodontic care, helping them develop responsibility and consistency. Regular checkups are scheduled to ensure teeth are moving properly and to celebrate milestones along the way. Our friendly staff makes each visit enjoyable, creating a welcoming atmosphere where teens feel supported and motivated.
Teen orthodontics in Eldora does more than create beautiful smiles. It establishes a strong foundation for lifelong oral health. Proper alignment reduces the risk of uneven wear, prevents jaw discomfort, and helps maintain the integrity of existing dental restorations. When teeth are in their ideal positions, they function more efficiently, promoting long-term comfort and stability.
By addressing orthodontic concerns during the teenage years, we can often prevent more complex dental issues from developing in the future. Our team at Eldora Family Dentistry & Orthodontics is dedicated to ensuring that each teen leaves treatment with not only a stunning smile but also the knowledge and habits to keep it that way.
Eldora is a community built on connection, care, and local pride and that is exactly how we approach our practice. At Eldora Family Dentistry & Orthodontics, we are proud to provide advanced orthodontic care close to home, so families do not have to travel far for exceptional treatment. Our dedication to precision, education, and compassion makes us a trusted choice for orthodontics for teens in Eldora.
Our doctors and team bring years of experience and a genuine passion for helping young patients feel confident in their smiles. We stay up to date on the latest technology and orthodontic innovations to ensure that every treatment plan is efficient, comfortable, and tailored to each patient’s needs.
Orthodontic treatment is more than just straightening teeth. It is about building confidence, function, and lifelong oral health. Whether your teen chooses braces or clear aligners for teens in Eldora, they will be taking an important step toward a healthier and more confident future.
At Eldora Family Dentistry & Orthodontics, we believe every smile has the potential to inspire pride and positivity. Our mission is to make that transformation as seamless and rewarding as possible. If your teen is ready to begin their orthodontic journey, our team is here to guide them every step of the way because the best smiles are built on care, confidence, and community.
